PAR IMPLANTĀCIJU
Klīniskie gadījumi
Ieteikumi pēc operācijas
IMPLANTI
CENAS
KLĪNIKAS
SAZINĀTIES
_
OSSTEM
Klīniskie gadījumi
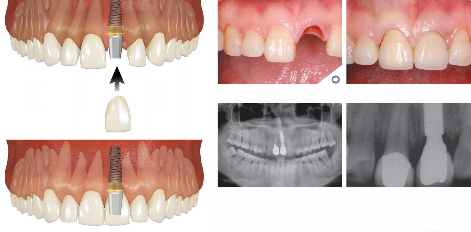
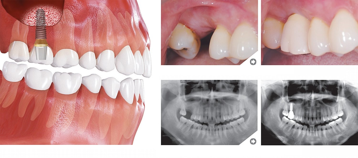
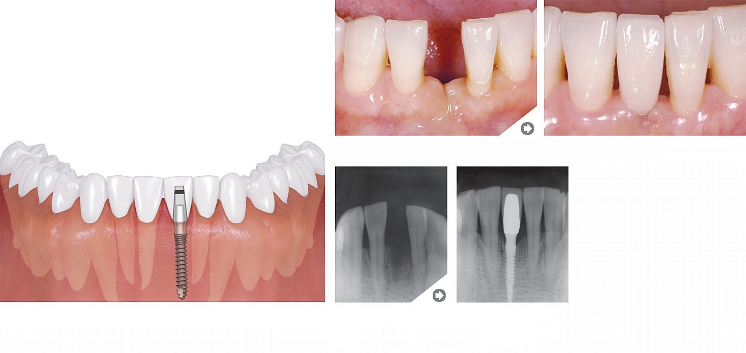
Trūkst viena zoba
Priekšējais zobs
Apakšējais molārs
Implantācija šaurā starpzobu telpā
KLĪNIKAS
Trūkst pāris zobu
Augšējie molāri
Apakšējie molāri
KLĪNIKAS
Trūkst visu zobu
Neizņemama protēze
Implanti izņemamām protēzēm
KLĪNIKAS
Kaula rekonstrukcija (žoklis)
Neliela daudzuma sinus augšžokļa kaula materiāla rekonstrukcija
Liela daudzuma sinus augšžokļa kaula materiāla rekonstrukcija
KLĪNIKAS
Zobu līnijas pagarināšana (apakšžoklis)
Vadīta kaula pieaudzēšana
Blokveida kaula transplantācija
KLĪNIKAS
SAZINĀTIES